Про зубы...
Почему КТ и панорамный снимок не одно и то же?
•На КТ мы видим не только наличие, но и объём всевозможных образований-кист, карманов, свищевых ходов, что даёт понимание тактики лечения
•Количество каналов в зубах, качество их пломбировки-важнейшая информация для изготовления коронок, мостовидных конструкций
•Качество постановки пломб и наличие/отсутствие кариеса под ними
•Расположение корней зубов для сокращения времени удаления, особенно восьмёрок
•Объём+качество костной ткани+форму челюсти для планирования имплантации
•Наличие сверхкомплектных и ретенирированных (не прорезавшихся) зубов
И так далее…
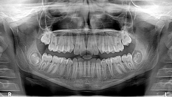
Панорамный снимок (ОПТГ) - это плоскостное изображение, где возможности доктора планировать адекватное лечение урезаны до минимума.
P.S. Ребёнку младше 8 лет обычно делают ОПТГ.
•На КТ мы видим не только наличие, но и объём всевозможных образований-кист, карманов, свищевых ходов, что даёт понимание тактики лечения
•Количество каналов в зубах, качество их пломбировки-важнейшая информация для изготовления коронок, мостовидных конструкций
•Качество постановки пломб и наличие/отсутствие кариеса под ними
•Расположение корней зубов для сокращения времени удаления, особенно восьмёрок
•Объём+качество костной ткани+форму челюсти для планирования имплантации
•Наличие сверхкомплектных и ретенирированных (не прорезавшихся) зубов
И так далее…
Панорамный снимок (ОПТГ) - это плоскостное изображение, где возможности доктора планировать адекватное лечение урезаны до минимума.
P.S. Ребёнку младше 8 лет обычно делают ОПТГ.